Тотальное протезирование при патологической стираемости зубов — Примеры работ — Стоматология Элита

Тотальное протезирование при патологической стираемости зубов

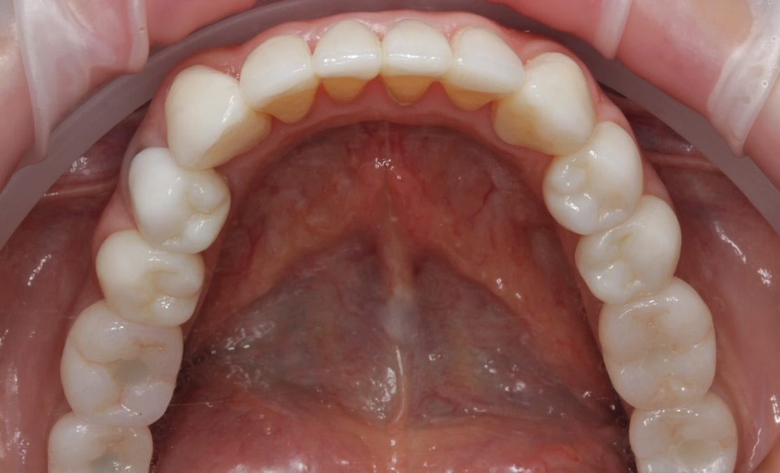
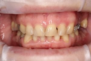
Пациентка 50 лет обратилась для замены старого съемного протеза верхней челюсти на новый несъемный (с просьбой об имплантации). После тщательной диагностики хирургом Борискиным А.А. и ортопедом Березиным А.И. была проведена одномоментная имплантация с нагрузкой временным несъемным протезом в первые дни после операции, что позволило пациентке почти не отвлекаться от работы, и получить несъемную конструкцию на верхней челюсти впервые за долгие годы. После достижения интеграции (не менее 6 месяцев) временные конструкции были заменены ортопедом на постоянные — цифровые из диоксида циркония с титановой балкой. Достигнута идеальная интеграция с мягкими тканями, эстетическая реабилитация и переход в желаемый цвет без затрагивания нижних передних зубов (пожелание пациентки).

Этапы лечения

Врач

Березин Андрей Игоревич

Березин Андрей Игоревич

Телеграм-канал Березина А.И.
Стоматолог-ортопед высшей категории
Другие работы врача, отзывы сертификаты

Контакты

Звоните, приезжайте - мы вас ждем!

  • Адрес:
    г. Омск, ул. Октябрьская, 120
  • Время работы:
    Пн - Вс: с 09:00 до 19:00; Рентген кабинет: 9:00-19:00
  • Телефоны:
    +7 (3812)66-55-44
    +7 (3812)25-25-85