Имплантация. Тотальное протезирование. — Примеры работ — Стоматология Элита

Имплантация. Тотальное протезирование.

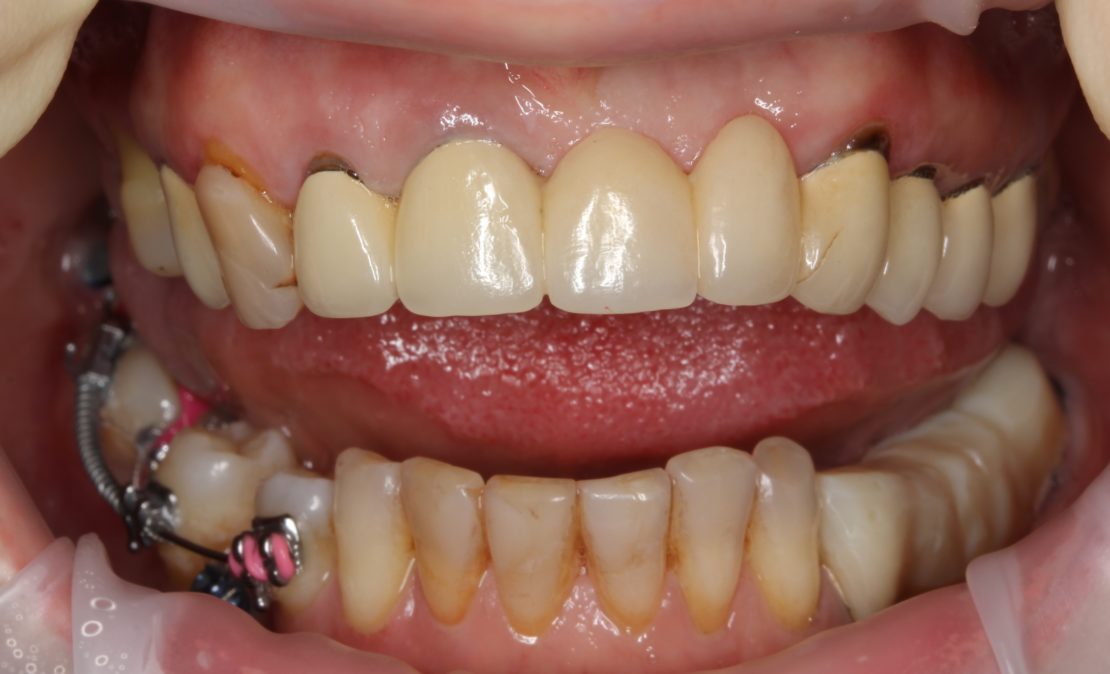
Тотальное протезирование прессованной керамикой ЕМАХ с переходом в цвет BL2. Лечение патологической стираемости и эстетического дефекта с предварительной подготовкой у ортодонта. Восстановлена эстетика улыбки, объем твердых тканей зубов, комфортное смыкание, поддержка губ, пациентка получила желаемый оттенок эмали. Точной окклюзией на керамике поддерживается результат ортодонтической подготовки, что предотвратит осложнения со стороны ВНЧС.

Этапы лечения

Врач

Березин Андрей Игоревич

Березин Андрей Игоревич

Телеграм-канал Березина А.И.
Стоматолог-ортопед высшей категории
Другие работы врача, отзывы сертификаты

Контакты

Звоните, приезжайте - мы вас ждем!

  • Адрес:
    г. Омск, ул. Октябрьская, 120
  • Время работы:
    Пн-Пт:9:00-20:00 Сб-Вс:09:00-19:00 Рентген кабинет: 9:00-19:00
  • Телефоны:
    +7 (3812)66-55-44
    +7 (3812)25-25-85